Caso Reiner Donosti
Buenos días. Soy Rubén de Reiner Dental. Una Dra. Me manda este caso referido y no ha sabido darme más información. Yo creo que es un Bramemark Podéis echarme una [...]
Buenos días. Soy Rubén de Reiner Dental. Una Dra. Me manda este caso referido y no ha sabido darme más información. Yo creo que es un Bramemark Podéis echarme una [...]
Buenos días, cualquier ayuda estaría muy agradecida.
El paciente viene de otra clínica y quiere ponerse la corona conmigo. No sabe que marca de implante es y viene con el tapón de cicatrización. Necesito saber qué marca [...]
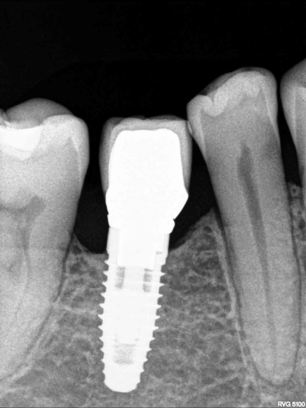
Buenas,¿ alguien sabe que implante es el 25? Seria para cargárselo. Gracias
Hola compañeros, acude paciente, con implante en posición 21, colocado hace 15 años, desconocemos marca. Acude por caída de la corona, debido a la fractura del muñon atornillado sobre el [...]
Hola ,tengo un caso de un implante colocado en Venezuela y la paciente viene con el nombre del implante colocado pero no equivale al q tiene en boca ,les mando [...]
Hola guapos , tengo un problema . Paciente que viene con 6 ioi , bueno , tres son idoi ( desosteointegrados ) y le voy a hacer una sobredentadura ...posiblemente [...]
La paciente lleva implantes colocados hace más de 10 años con puentes cementados. En estos momentos el puente superior derecho ya no es posible cementarlo más y dado el estado [...]
Hola podríais ayudarme? La paciente coloco el implante de la pieza 36 en unidental .Quiere cambiar coronas.El implante 3.5 lo coloco en otro sitio pero al ser de conexión externa [...]
Buenas noches: Tenemos que rehabilitar estos 3 implantes colocados hace más de 15 años. Os detalle lo que sabemos de ellos: tiene un cono externo muy alto, redondo. el [...]