Implante en p.16 desconocido
Buenos días a todos, Necesito ayuda para identificar un implante en posición del 16 colocado en otra clínica. La paciente se ha puesto en contacto con ellos y le han [...]
Buenos días a todos, Necesito ayuda para identificar un implante en posición del 16 colocado en otra clínica. La paciente se ha puesto en contacto con ellos y le han [...]
Buenos días compañeros, os adjunto este implante que me ha llegado a la clínica, seríais tan amables de decirme que implante es?, no he podido hacerle una periapical porque tengo [...]
Buenas tardes compañeros, a ver si podéis ayudarme a identificar estos implantes Un saludo
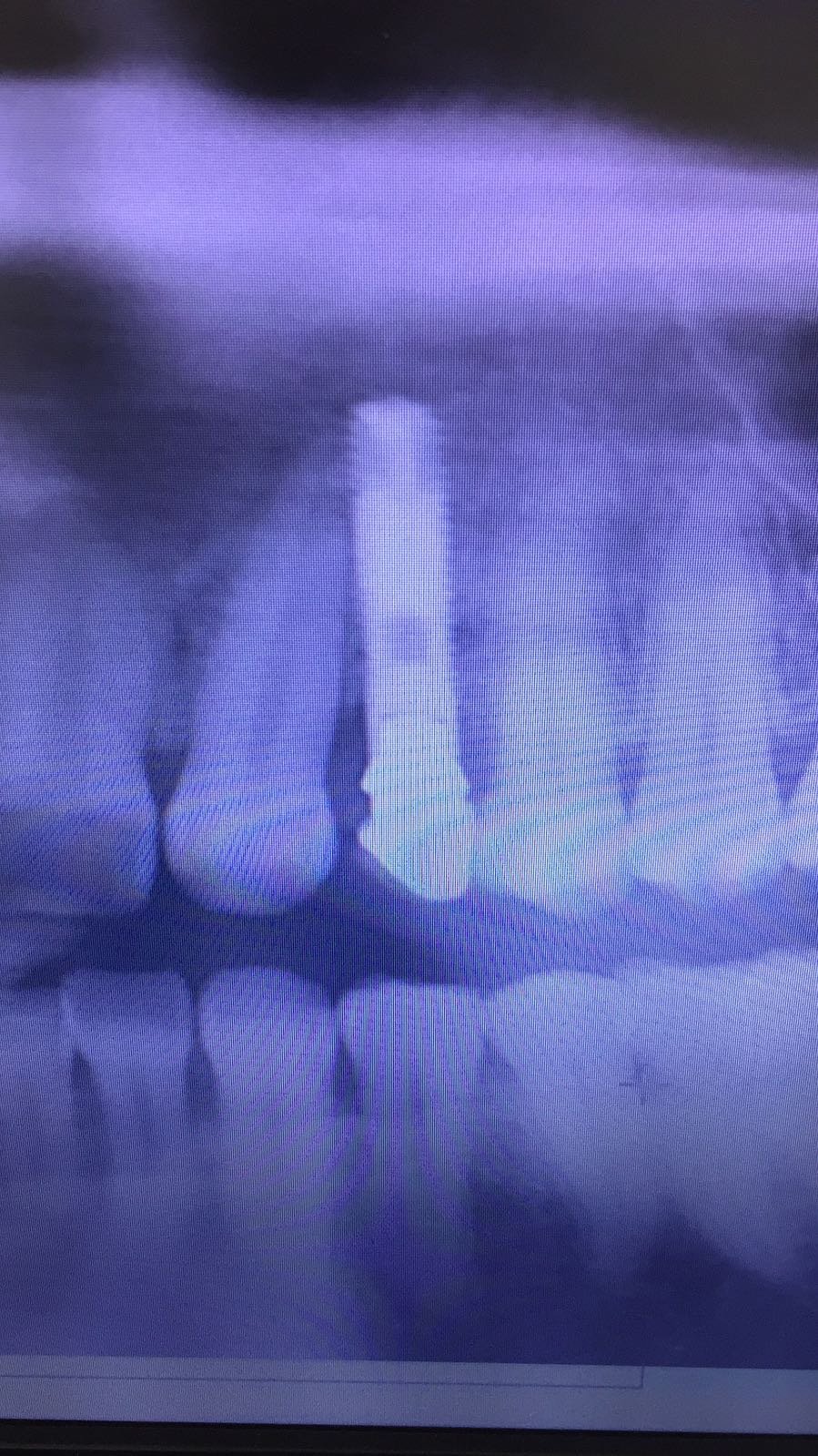
Buenas tardes, perdonad por la mala calidad de la imagen.Podriais ayudarme a identificar el implante? Gracias
Implante unitario antiguo. el dentista desapareció.
Caso Idental. La paciente aporta identificacion de implantes phibo, solo para 4 de ellos, no aporta posiciones. Faltaria identificar el resto.
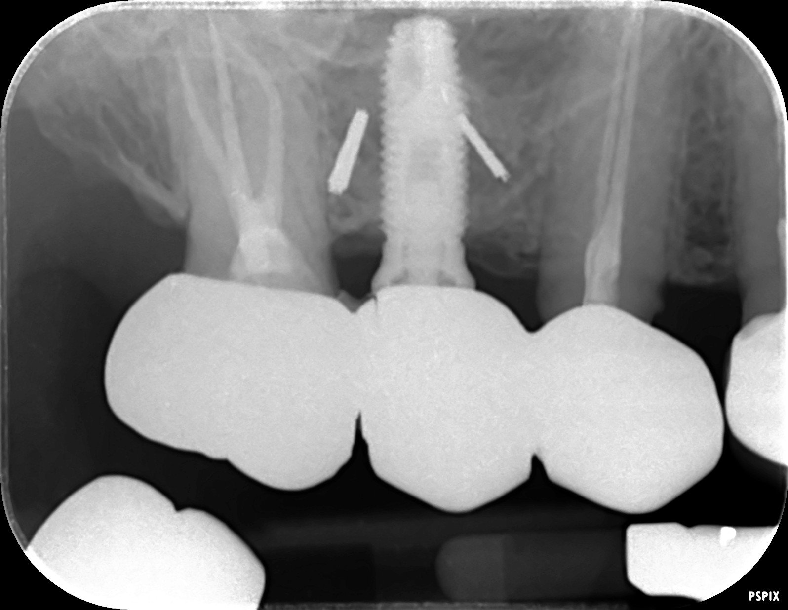
Me gustaría identificar el implante del tercer cuadrante( el tapón de cicatrización no es el propio)
Buenos dias, me gustaria saber que tipo de implante es el de la foto, ya que debo realizar una rehabilitación completa. Muchas gracias.
Buenas tardes queria saber si fuera posible la marca del implante.