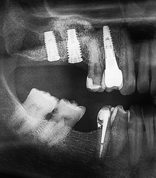
No sé cuáles son los implantes del 1er cuadrante
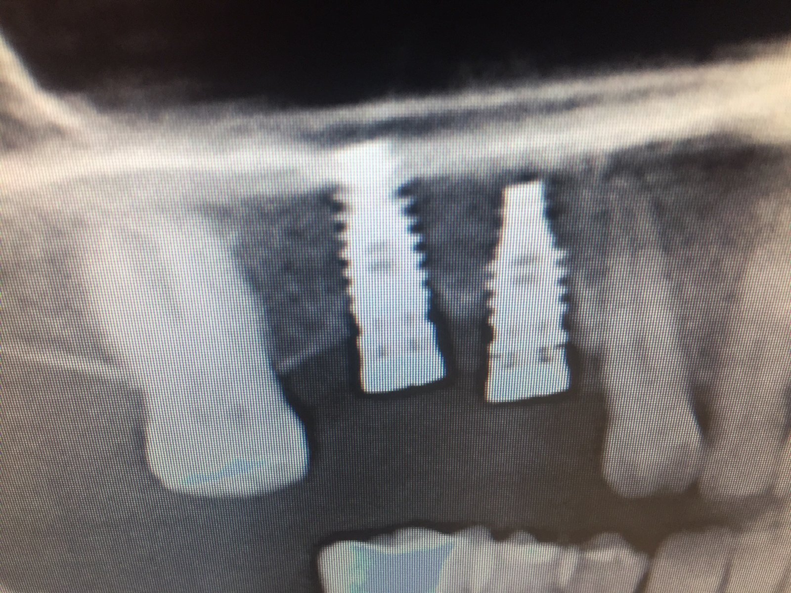
Hola compañeros, Acude a mi consulta un paciente al que le colocaron estos dos implantes hace 4 años. No se presentó a la cita para empezar las coronas por miedo [...]
Hola compañeros, Acude a mi consulta un paciente al que le colocaron estos dos implantes hace 4 años. No se presentó a la cita para empezar las coronas por miedo [...]
Necesito saber que implantes lleva la paciente. Queremos desatornillar las cooronas Y quiero ver si tenemos los destornilladores para hacerlo. No tengo foto solo rx. Piezas 35,36,37
Hola a todos, necesito saber que implantes es el que está en posición de diente 2.4, adjunto la RX del implante con la rehabilitación instalada, y luego una foto intra-oral [...]
Saludos este pcte me llego desde chile a Colombia con un implante óseo integrado de conexión externa , no se que marca de implante es , alguna ayuda ?
Buenas, necesito saber que implante es este para rehabilitarlo. Gracias de antemano
Paciente masculino 38 , se cambio de pais busca rehabilitacion implante en 37 , creo que es un nobel pero no estoy seguro .
Paciente que acude con tornillos transoclusales rotos. Al parecer por segunda vez, lo que me lleva a pensar en un mal ajuste protético. Podriais ayudarme a identificar de que implantes [...]