Help me with these posterior implants
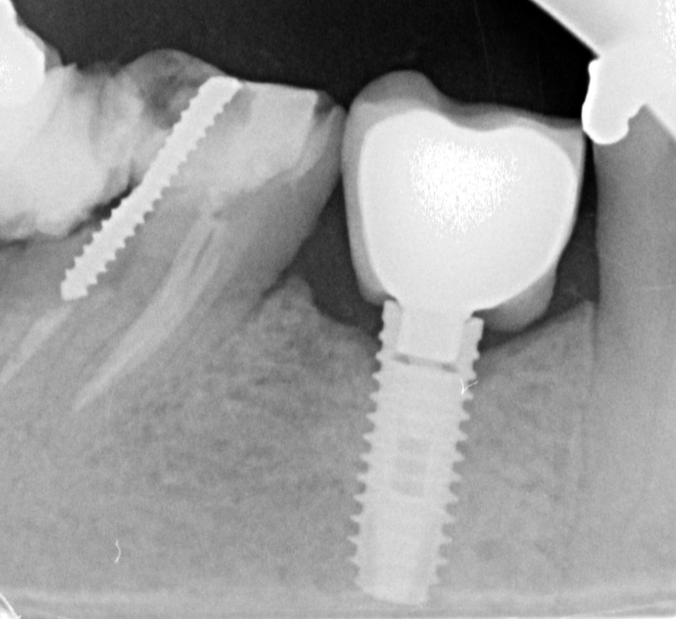
I don't know the type of these 2 implants placed in the mandibular left posterior area Implants have been placed 6 months ago in Egypt
I don't know the type of these 2 implants placed in the mandibular left posterior area Implants have been placed 6 months ago in Egypt
Buenos días. Por favor, podríais ayudarme a saber los IMPLANTES SUP E INFERIORES. ? En SUP tiene rotos 2 tornillos y en inferior se le acumula mucha comida. Quiere todo [...]
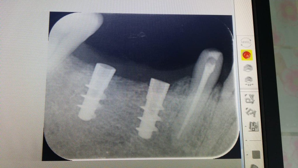
Buenos días, queremos rehabilitar protesicamente los implantes situados en 35 y 36 pero no sabemos la marca. Muchas gracias.
Hola Estos implantes se pusieron hace 25 años pero necesito saber cuales son. Para rehabilitarlos. Me han dicho que pueden ser de zimmer subire foto de la conexión cuando vuelva [...]
Buenos días, quisiera saber que marca son los implantes en zona de 35 y 36 y los detalles para poder rehabilitar protesicamente. Muchas gracias
paciente viene para rehabilitar Implante del 44 pero no sabe que marca es y su clínica cerró He podido observar que es de conexión interna, no tengo foto pero el [...]
El paciente vino a la consulta con el locator suelto y gastado para cambiar, pero colocó el implante en otra clínica y no sabe cuál es la marca modelo o [...]
Buenas, necesito un tornillo de conexión para este implante y no se de qué marca es.