Identificación Implante 47 y tornillo fracturado.
Paciente que acude con corona sobre implante 47 floja. Al destapar para ver si se puede apretar ya extraemos la cabeza del tornillo fracturado y posteriormente conseguimos retirar el fragmento [...]
Paciente que acude con corona sobre implante 47 floja. Al destapar para ver si se puede apretar ya extraemos la cabeza del tornillo fracturado y posteriormente conseguimos retirar el fragmento [...]
Paciente se coloco implantes en consulta privada, pzas #30, 31 *ADA, llega a consulta para rehabilitacion protesica, de Chih, Mexico,
Buenos dias, estos implantes fueron colocados en Barcelona hace 12 años aproximadamente, necesito saber la marca para buscas los repuestos de los "housing", por lo que se ve en las [...]
Buenos días, Necesitamos ayuda para identificar el implante del 25. Creemos que podría ser un astra.
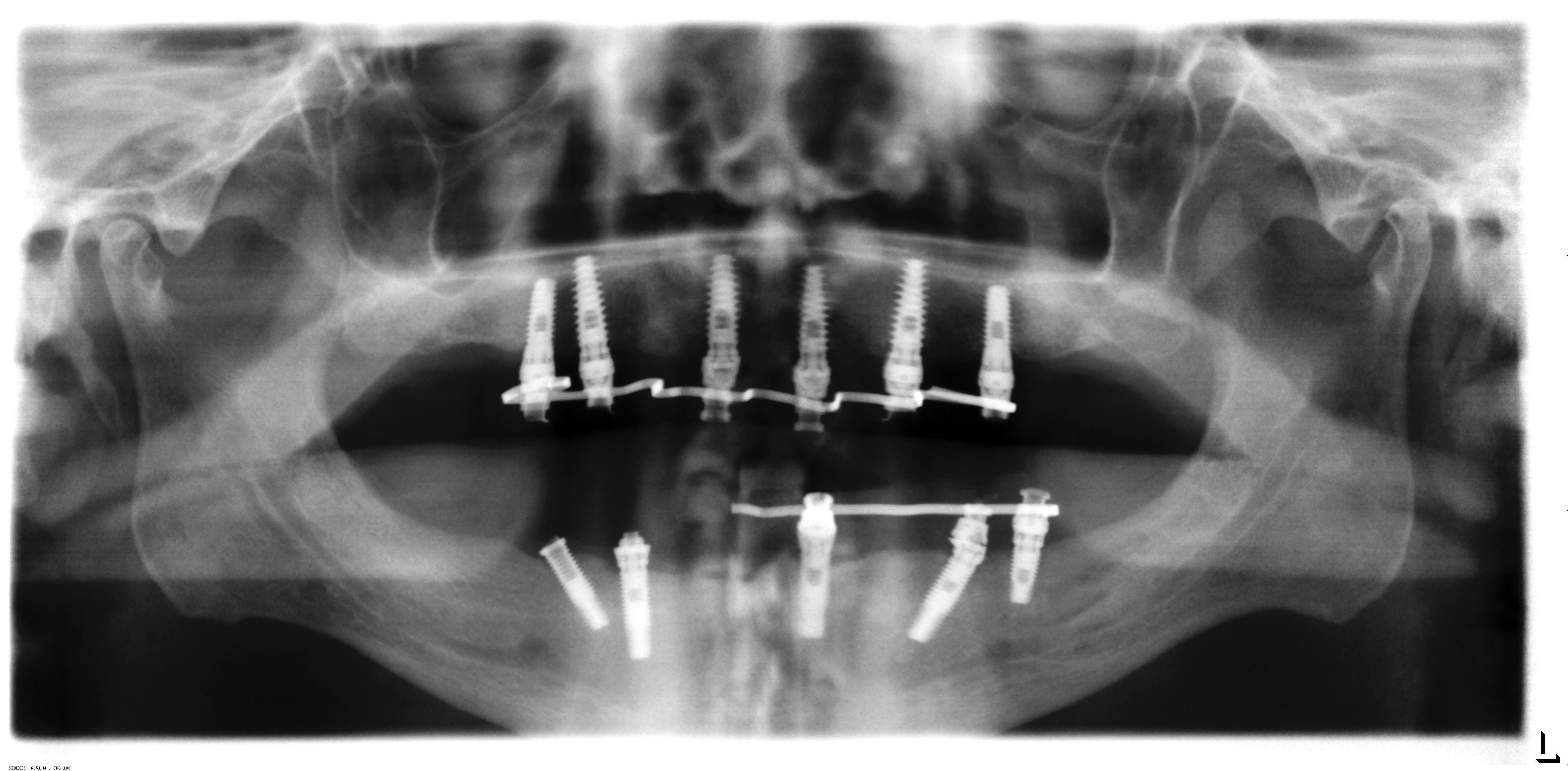
Llega este paciete a la consulta para recambio de ambas Hibridas. Lo ùnico que pude conseguir con su antiguo dentista fue informacion de los IOI de posicion 3.6 y 4.6 [...]
Buenos días, Os escribo porque necesito ayuda para restaurar la prótesis de este implante.. MUCHAS GRACIAS!!
BUENOS DÍAS: Tengo el caso de un paciente con unos implantes colocados en i-dental hace unos 3 años.Hay que rehabilitarle max sup e inferior y no consigue ni marca ni [...]
Buenos días, Ha acudido a consulta un paciente que viene de otra clínica, con movilidad en la corona del 17. No sabe qué marca de implantes lleva... ni yo jajajajaja [...]