Inicio › Foros › Identificar implantes dentales › Ayuda con los implantes superiores, conexión externa y tornillos de 1,70
Mostrando 1 respuesta al debate
- AutorEntradas
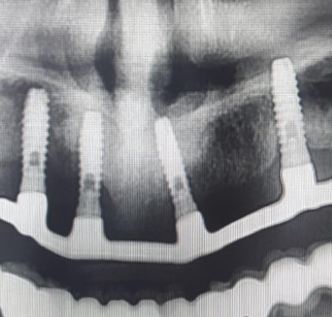
Buenas tardes! Gracias por confiar en http://www.implantdetective.com
Son implantes Microdent de conexión externa. Microdent tiene 2 tipos de conexión externa, uno universal, compatible con Branemark, y otro no compatible, el System. Para poder saber cuál es, retira la estructura y prueba un aditamento de Branemark.
Espero que la info te sea útil.
Un saludo!
Mil gracias!!
- AutorEntradas
Mostrando 1 respuesta al debate
- Debes estar registrado para responder a este debate.
