De qué implante se trata?
Buenos días compañeros. Alguien sabría decirme qué implantes son los que se ven en la radiografía? Muchas gracias
Buenos días compañeros. Alguien sabría decirme qué implantes son los que se ven en la radiografía? Muchas gracias
Buenos días!Me podríais ayudar con la marca de este implante?! Muuuchas gracias!!
buenas,necesito vuestra ayuda,me manda la foto un clínico amigo para intentar averiguar que implante es,no tengo más datos
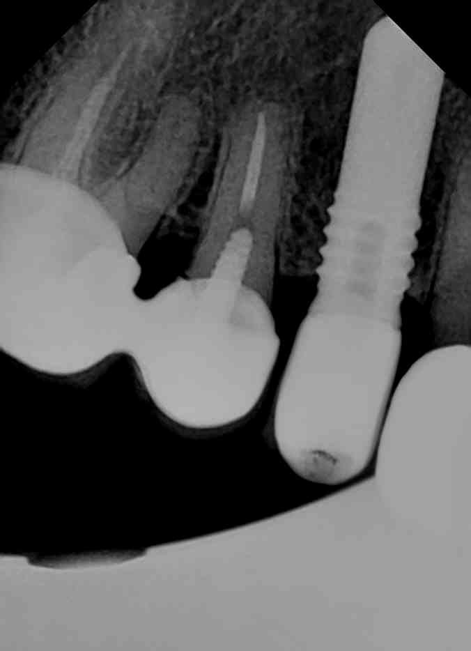
El paciente acude con una prótesis fija despegada de los pilares atornillados sobre esos implantes. Además, viene con el tornillo sobre el 23 roto y dentro del implante. Me gustaría [...]
Buenos días, colegas. Agradecería, por favor identificar este tipo de implantes, según el paciente llevan en boca unos 12 años. Cordiales saludos.
Al descubrir el acceso al tornillo es plano , no se que destornillador es.
Por favor a ver si alguno sabéis cual es el implante del 12. El paciente se lo colocó en otra clínica y han desaparecido. Conexión interna pero cuadrada (os mando [...]
Buenas, me han enviado un implante de clÍnica y me piden que le diga que conexión es y que pidamos nosotros el tornillo. El caso es que no sabemos cual [...]
Buenos días. Ayer me vino una paciente Belga con la corona en la mano y el tornillo fracturado. Gracias por vuestra ayuda.