

Curso Iniciación a la Cirugía Mucogingival Periimplantaria
24/02/2023 | 24/02/2023 - 24/02/2023
| 300€🤔¿Quieres mejorar el PROCESO DE CICATRIZACIÓN de tus cirugías? ¿Quieres MEJORAR tus TÉCNICAS DE SUTURA? ¿Quieres estar a la VANGUARDIA de los últimos avances en el campo de la CIRUGÍA MUCOGINGIVAL?🤔
✅ ¡¡¡ESTE ES TU CURSO!!! ✅
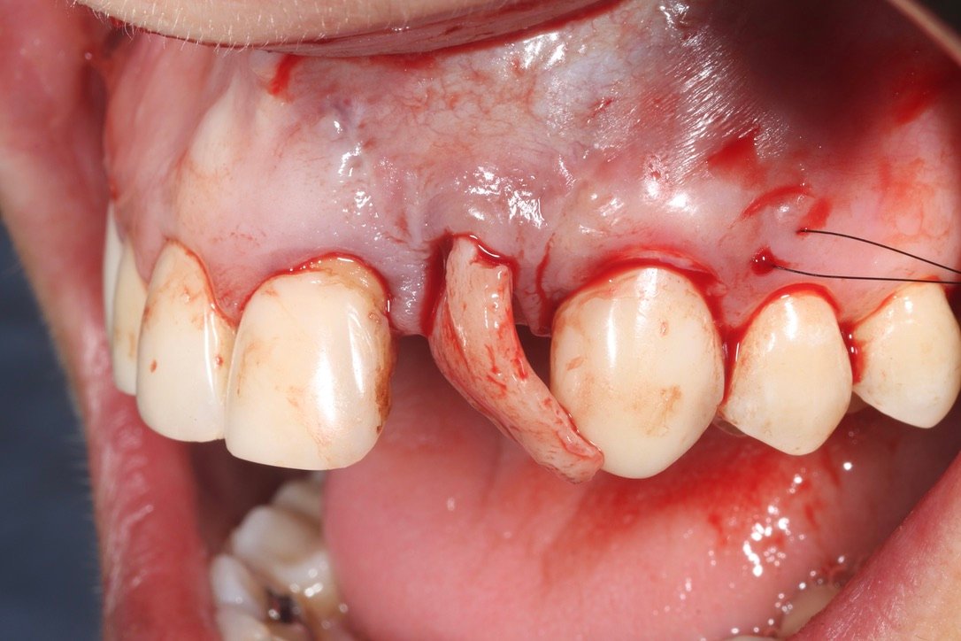
Una vez más, el Dr. David Sevilla, en las instalaciones de IMPLANT DETECTIVE en Getafe, nos presenta un curso de Cirugía Mucogingival en el que el alumno, podrá descubrir las nuevas técnicas quirúrgicas para poder se predecible en el tiempo, obtener sustento mucoso y lo que es lo más importante, que los pacientes consigan la tan ansiada encía creatinizada.
NO se entiende la implantología, ni la cirugía oral, sin dominar las TÉCNICAS QUIRÚRGICAS para obtención de tejidos blandos. La demanda estética por parte de los pacientes, unido a la barrera natural de protección que proporciona la encía, hace que sea indispensable formarse en la apasionante técnicas descritas por el Dr. David Sevilla.
- Injerto de paladar para aumento de volumen en implantes
- Injerto de tuberosidad para aumento de volumen en implantes
- Injerto gingival libre para aumento mucosa queratinizada en implantes
- Doble injerto (paladar-tuberosidad) para aumento de volumen + recubrimiento retracción gingival en implante sector estético
- Inserción del injerto en mucosa
🔵Objetivos:
Los principales objetivos de este curso son, saber el diagnóstico de aquellos casos predispuestos a futuros problemas periimplantarios (periimplantitis) debido a los tejidos blandos, y saber ponerle solución mediante técnicas básicas de cirugía mucogingival.
🔵Dirigido a:
Está dirigido desde a odontólog@s a generales que sepan diagnóstico y quieran mejorar la planificación de perio-muco, como a odontólog@s en iniciación al campo de la cirugía de implantes y/o a la periodoncia quirúrgica, de todas las edades.
🔵Profesor
El Dr. Sevilla es un destacado odontólogo experto en periodoncia e implantes dentales. Es licenciado en Odontología por la Universidad Alfonso X el Sabio y culminó un Máster en Cirugía oral, periodoncia e implantes. Colabora con David Valero en su clínica y comparten la actividad laboral en prestigiosas clínicas dentales nacionales Compagina su trabajo como odontólogo con la docencia, como profesor del máster de cirugía oral, Implantología y Periodoncia de la Institución Universitaria Mississippi y de diferentes másters relacionados con el tema a nivel nacional
Es autor de artículos en revistas nacionales y ponente en cursos de origen nacional sobre periodoncia e implantes.
🔵 Programa: Curso Iniciación a la cirugía mucogingival Periimplantaria
📍Ubicación
Madrid: Sede Implant Detective (Clínica dental David Valero)









Deja tu comentario
Debe iniciar sesión para escribir un comentario.